Smile Gallery

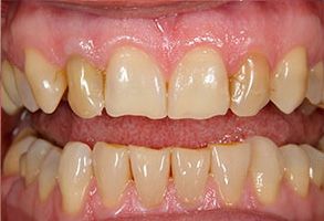
A close-up of a person s smile with yellowed teeth and visible signs of dental decay.

Before

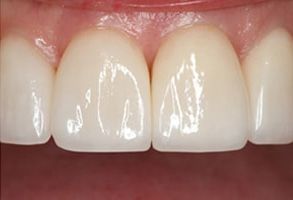
The image shows a close-up of a person s smiling mouth with white teeth, set against the background of their face.

After

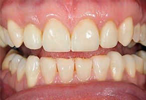
An image of a close-up view of a person s teeth, showing yellow staining and some decay, with the focus on dental care or oral health issues.

Before

The image shows a close-up of a person s teeth, with visible signs of tooth decay and discoloration.

After

Image of a person s face with a wide smile, showcasing teeth and lips, against a neutral background.

Before

The image shows a close-up of a person s mouth with teeth, gums, and lips visible.

After

This is an image of a person s teeth with visible staining, showcasing the need for dental care.

Before

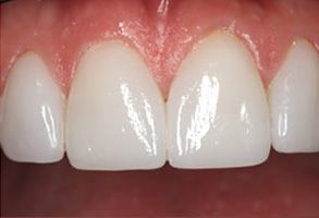
A close-up of a person s teeth with a focus on a large, bright smile.

After

The image shows a close-up of a person s teeth with visible staining, suggesting the need for dental care or treatment.

Before

The image shows a close-up of a person s teeth, focusing on the upper front teeth and gums.

After

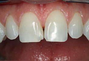
The image shows a close-up of a person s teeth, with the focus on a section where there is visible tooth decay or damage.

Before

This is a close-up image of a person s teeth, showcasing a bright and clean smile with a full set of white teeth.

After

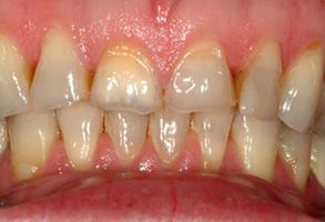
The image shows a close-up of a person s mouth with crooked teeth and visible staining, likely due to tobacco use.

Before

The image shows a close-up of a person s teeth, with the focus on a set of upper front teeth that appear to be in need of cosmetic dental work due to discoloration and uneven spacing.

After